Recurrent Kimura Disease of the Submandibular Region After Prolonged Remission to Radiotherapy and Its Challenges

Recurrent Kimura Disease Post-Radiation
Vol. 21 No. 1 : 2026 (557-562)

Nur Fa’izah Ab Muin Nur Fa’izah Ab Muin
Adzim Poh Yuen Wen Adzim Poh Yuen Wen
Reena Rahayu Md Zin Reena Rahayu Md Zin

Abstract
Kimura disease is a rare, chronic inflammatory condition predominantly affecting young adults, particularly those of Asian descent. It presents with subcutaneous nodules and regional lymphadenopathy, and while benign, it can cause significant disfigurement and recurrent issues. A 56-year-old male of Chinese descent with a history of Kimura disease presented with a recurrent mass in the right infraauricular area, initially diagnosed in 1987. Despite surgical resections and extended steroid therapy, disease recurrence persisted. The patient then underwent radiotherapy targeting the right cheek and mandible. He experienced excellent disease control for 12 years. However, in 2022, the patient experienced a relapse. Given the recurrence and prior response to radiotherapy, re-irradiation was considered but reserved as a last option due to potential risks. Instead, triamcinolone acetonide injections were administered, resulting in significant symptom improvement and control of the lesion. Management of Kimura disease remains challenging due to high recurrence rates. This case highlights the difficulties in managing recurrent Kimura disease after radiation and demonstrates the effectiveness of intralesional steroid therapy as an alternative treatment option.
Keywords : Chronic inflammatory; Kimura disease; rare,
Abstrak
Penyakit Kimura ialah keadaan keradangan kronik yang jarang berlaku, dan lazimnya memberi kesan kepada golongan dewasa muda, terutamanya dalam kalangan individu berketurunan Asia. Penyakit ini biasanya muncul dalam bentuk nodul subkutaneus dan limfadenopati setempat. Walaupun bukan kanser, ia boleh menyebabkan kecacatan yang ketara dan masalah yang berulang. Seorang lelaki berumur 56 tahun berketurunan Cina dengan sejarah penyakit Kimura menghadapi masalah ketulan berulang di kawasan infraaurikular kanan, yang pertama kali dikesan pada tahun 1987. Walaupun telah menjalani pembedahan dan terapi steroid yang berpanjangan, penyakit itu tetap berulang. Pesakit kemudian menjalani radioterapi di bahagian pipi kanan dan rahang bawah. Kawalan penyakit yang baik dirasai selama 12 tahun. Walau bagaimanapun, pada tahun 2022, penyakit Kimura kembali berulang. Rawatan ulangan radioterapi ada dipertimbangkan memandangkan tindak balas sebelumnya terhadap radioterapi, tetapi terapi ini disimpan sebagai pilihan terakhir kerana risiko yang mungkin timbul akibat radiasi berulang. Sebaliknya, suntikan triamcinolone acetonide diberikan yang membawa kepada kawalan simptom yang ketara dan kawalan saiz ketulan. Pengurusan penyakit Kimura adalah mencabar disebabkan oleh kadar sakit berulang yang tinggi. Kes ini menonjolkan kesukaran dalam menguruskan penyakit Kimura yang berulang selepas radioterapi dan menunjukkan keberkesanan terapi steroid intralesi sebagai rawatan alternatif.
Kata Kunci : Ganjil; keradangan kronik; penyakit Kimura,

Correspondance Address
Nur Fa’izah Binti Ab Muin. Department of Radiotherapy & Oncology, Faculty of Medicine, Universiti Kebangsaan Malaysia, Jalan Yaacob Latif, Bandar Tun Razak, 56000 Cheras, Kuala Lumpur, Malaysia. Tel: +601128388054 E-mail: drfaizah_abmuin@ukm.edu.my


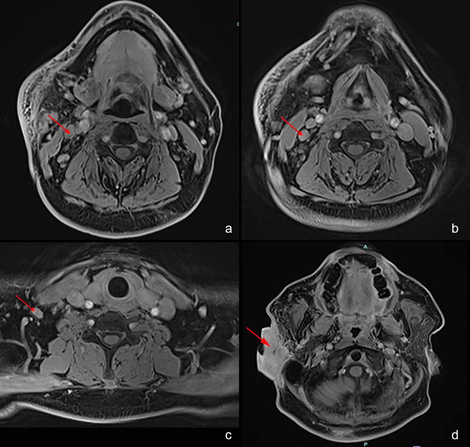
FIGURE 2: MRI images showed (a-c) enlarged and enhancing lymph nodes at levels 2, 3, and 4 of the right cervical neck regions; (d) lobulated soft tissue mass measuring 2.6 cm x 4.9 cm x 6.3 cm in the right pre- and postauricular space